Yediği yemek az kalsın hayatından ediyordu: Sağ akciğeri tamamen kapandı! Soluk borusunu tıkadığı 5 ay sonra ortaya çıktı…

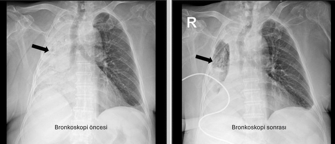
Denizli’de yaşayan 78 yıllık kadın ve emekli bir öğretmen yakın zamanda akciğer enfeksiyonu nedeniyle hastanede idi. 1 ay önce gittiği hastanede bronkoskopinin yapılmasına rağmen, sorunun tespit edilmediği öğrenildi. Yaşlı kadın, sağ akciğerin Pamukkale Üniversite Hastanesi’nin belirlenmesine tamamen kapatıldığı hastaneye gitti.

Bu nesne mısırdan çıktı

Pau Ökr Hastaneleri Göğüs Hastalıkları Bölümü. Prof.dr. Üye Dr.Köksel Altōiş Ergur, sağ akciğerler tarafından yapılan sınavlar için tamamen kapatıldı. Acil bronkoskopi planlandı ve prosedür derhal gerçekleştirildi. Dr. Altenishık ergur, hava yollarını incelerken çok yoğun ve karanlık bir salgılama ile esnek bir “bronkoskop” (esnek, katlanabilir), ancak hava yollarının derinlemesine temizlenmesini takiben, bir olaydan dolayı dönüştürüldüğünü ve berrak olduğunu, bir olaydan dolayı dönüştürüldüğünü açıkladığını açıkladığını açıkladığı açıktır. Vücudun açık olduğu açık olduğu açık olduğu açık olduğu açıktı. genel anestezi ile yapılmıştır;

Yedik yiyecek hayatından daha azdı: sağ akciğer tamamen kapalıydı! Trakea'yı engellediğinde 5 ay sonra ortaya çıktı ... 2

Yediği pizza ciğerlerine gitti

Prof. Alküzek Ergur, hastanın trakeasının nasıl engellendiğini açıkladı: “Havayollarında sıvı emen aspiratörün gücünü kullanarak nesneyi çıkarmak mümkün oldu. Hastanın hastanın tekrar yediği pizzada yediği pizza için daha önemli olduğu öğrenildi.

Yedik yiyecek hayatından daha azdı: sağ akciğer tamamen kapalıydı! Trakea'yı engellediğinde 5 ay sonra ortaya çıktı ... 3

“Nesne Heimlich’in manevrası veya öksürüğü ile atılamazsa, bronkoskopiye müdahale etmek gerekir”

Pau Ökr Hastaneleri Göğüs Hastalıkları Bölümü. Prof.dr. Üye Dr. Göksel Altuzer, “Normalde özofagus ve trakea arasında, Epiglot adı verilen kapsama, gıdaların yanlışlıkla hava yollarına kaçmasını önler. Bir yaşam manevrası ve kalıcı vücuda müdahale etmek gerekir.

(İHA)

İlgilenebilirsin

Bir yanıt yazın

E-posta adresiniz yayınlanmayacak. Gerekli alanlar * ile işaretlenmişlerdir

malta work and study
ümraniye escort kadıköy escort bursa escort bursa escort ümraniye escort