Kurban kesecekler dikkat! Uzmanlar uyardı: Hayvandan insana geçebilir!

Diyetisyen Pizar Polat, -Adha’daki kimlikten önce et tüketimi konusunda uyarılar, “Sadece kesilmiş ve güvenilmez et mide problemlerine yol açabilir. Et, en az 12 saat dinlenmeli” dedi.

Diyetisyen Pizar Polat, Eid al -Adha, et tüketiminden önce etin korunması gerektiğini, “etin tüketmeden 12 saatten 24 saate kadar korunması gerektiğini söyledi. Böylece, dinlenmeden pişmiş ette midenin sindirim problemleriyle karşılaşabiliriz. Sindirim problemlerini azaltmak için.

Et tüketirken ılımlı tüketim dikkate alınmalıdır. Ek olarak, lif tüketimi arttırılmalıdır. Sebze veya zeytinyağı salatası yiyecekleri renkli olmalıdır, ayrıca tüketilen yiyeceklerin tam buğday olması gerekir. Belki de tekrar sindirimi hafifletmek için, laktikello, yoğurt yanında tüketilmelidir. Bunun dışında, kepekli ekmek veya bulgur pirinci gibi, tam Parmesan gıdalarının tüketimi denge sağlayacaktır “dedi.

“Çok fazla barbekü yangına maruz kalmamalı”

et ızgarası

Polat, et pişirme yönteminin hem sağlık hem de beslenme değeri açısından önemli olduğunu vurgulayarak “, bu nedenle haşlanmış, ızgara, buhar fırını veya vazolar öneriyoruz.

Et çiğ olmamalı veya pişmemelidir. Çünkü bazı bakteri ve parazitler içerebilir. Bu çeşitli hastalıklara yol açabilir. Bu nedenle, etin iç sıcaklığının en az 70 derece olması gerektiğini bilmek gerekir. Ancak suyunu düşük ateşte uzun süre çekecek kadar pişirildiğinde, et zaten 70 dereceye ulaşmıştır. Ek olarak, et, b12 ve demir zengindir çünkü bence C vitamini açısından zengin gıdalarla tüketilmelidir “dedi.

“Tatlı tüketiminde ılımlı olmak önemlidir”

Partiye güne kahvaltı ile başlamanın öneminin altını çizen Polat, “Yumurta, çok yağlı bir peynir, zeytin, zeytinyağı ve mevsimsel sebzeler veya domates, salatalık ve tam bir Parmesan ekmeği ile yapılacak.

kırmızı et

Tatlı tüketimde, orta derecede olmak önemlidir, ancak tercih edilirse, çeşitli renkli mevsimsel meyvelere veya en azından süt tatlılarına öncelik vermek daha değerlidir. Parti sırasında ılımlı yemek tüketmek, o anda tüketmek ve atıştırmalıkları durdurmak önemlidir. Beslenme, istifleyerek veya bir yemeğe engellenerek önerdiğimiz bir şey değildir. Bu parti için de geçerlidir ”dedi.

Kronik hastalığı olanlar dikkat eder

Beytepe Şehit Murat Erdi ETER DEVLET HASTANESİ TIP Dahili Tıp Exp. Dr. Batuhan Seylan, hipertansiyon, kardiyovasküler hastalıklar gibi kronik bozukluklara sahip olanların et tüketimine dikkat etmesi gerektiğini söyledi, “diyabet, hipertansiyon, özellikle kardiyovasküler hastalıklarda, özellikle yaşlı ve kardiyovasküler hastalıkların daha da fazla olduğu ve azaltmaların daha da fazla olması gerekir.

Hayvandan insana geçer

KURBANLIKLAR-IMIN-KIST-UYARISI-COPE-AATI_749506_221206

KARS Gökhan Perintcek’in Göğüs Hastalığı Uzmanı Devlet Hastanesi’nin göğüs hastalığı uzmanı, kesilecek hayvanlarda kistlerin oluşumuna Eid al -Adha ödenmelidir. Kistler olan organların köpeklerin ve diğer etoburların yok edilemeyeceği şekilde gömülmesi gerektiğini doğrulayarak Perintcek, “İnsanlar arasında köpek kistleri olarak bilinen idiydika kisti, insan hayvanlarından geçen ve ölüme yol açan ciddi bir hastalıktır. Karaciğer kistinin liderleri, kavşaktan pek çok problemi enfekte etmez”.

Çöpe atma

KURBANLIKLAR-IMIN-KIST-UYARISI-COPE-AATI_749503_221206

Eid al -Adha sırasında kesilmiş hayvanların organlarının dikkatli bir şekilde incelenmesini öneren Türk Toraks Derneği Kars, Gökhan Perintcek torasik hastalıklarının temsilcisi ve uzmanı, hygist kistin esas olarak koyun karaciğinde üçgen portakal olarak görüldüğünü söyledi. Idiot kist hastalığının insan hayvanı tarafından kontamine olduğunu doğrulayarak, Perincek şunları söyledi: “Kurbandan sonra bir kist hydat olarak görülen organ, çöp kutusuna atılmamalı, köpekler ve köpekler gibi hayvanlara beslenmemelidir. Hayvan esnemesi ve köpeklerin intestinlerinde olgun kistler içeren boşalma.

Gömülmeli ve ortadan kaldırılmalı

Kistler için Igette’in ülkemizde bir sorun olmasının nedenlerinden biri, köpekleri beslemek veya yanlışlıkla sokak köpeklerini, özellikle fedakarlık tatillerinde yapılan segmentlerden sonra sunulan bunları beslemek için bırakmaktır. Çünkü şüphesiz bir kist karaciğeri yiyen hayvan bu nedenle çim gibi yerlerden insanlarla enfekte edilebilir. Bu nedenle, kistler, köpekler ve diğer etobur hayvanları olan organlar, elde edilemeyecek şekilde gömülmelidir. Eid al -Adha sırasında bu sorunlara daha fazla dikkat edilmelidir. Parazit yumurtaları, parazit bir mücadele olmadan dolaşan okşama ve sevgi sırasında ellere gidebilir. Bu şekilde, kirlenmiş eller parazit yumurtasını yıkamadan ağzına getirilir. Bu nedenle, özellikle çok fazla sabun ve su ile köpeklerle temas ettikten sonra, çok fazla sabun ve su ile yıkanmalıdır “dedi.

“Parazit yumurtaları soğukta bir yıl hayatta kalabilir”

KURBANLIKLAR-IMIN-KIST-UYARISI-COPE-AATI_749504_221206

Parazitlerin köpeklerin sürekli bağırsağında yaşadığını ilan eden Perintcek, hastalığın enfeksiyonu hakkında aşağıdaki bilgileri sağlamıştır:

“Hastalık köpekler için köpeklerle fırlatılan yumurtalarla enfekte edilir. Köpek dışkıları ile fırlatılan yumurtalar çok dirençlidir, yerde ve soğukta canlı kalabilirler. Hayvanların ayakları, dünyanın, rüzgar ve yağmurun eğimi ile yayılmış dışkı ile fırlatılan yumurtalar, yumurta alarak hastalanırlar, bu yumurtalar sırasıyla açıktır.

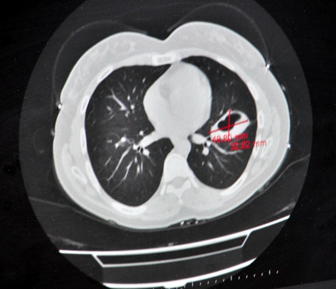
“Kistler karaciğer ve akciğerlerde daha yaygın olarak görülür”

Perintcek, hastalığın kistin küçük olduğu dönemde yıllarca belirtilmeden bakabileceğini söyledi. Kusma ve bazen kaşıntı kalplerin kalbinin kalbinde görülebilir. Kist patladığında alerjik reaksiyonlar meydana gelebilir.

(DHA)

İlgilenebilirsin

Bir yanıt yazın

E-posta adresiniz yayınlanmayacak. Gerekli alanlar * ile işaretlenmişlerdir

meritking meritking giriş kingroyal meritking meritking meritking meritking meritking meritking meritking giriş
malta work and study
ümraniye escort kadıköy escort bursa escort bursa escort bursa escort ümraniye escort